Suprakondylär humerusfraktur hos barn, akut handläggning
Status
Cirkulation
- Kontrollera radialispuls. Kan den inte palperas används Doppler.
- Kontrollera kapillär återfyllnad. Bör vara < 2 sec.
Avsaknad av radialispuls kan bero på kärlspasm, att arteria brachialis är sträckt eller böjd över ett frakturfragment, eller på varierande grad av skada på arteria brachialis. Kollateralkärl kan förse handen med tillräcklig cirkulation då arteria brachialis är komprimerad.
Neurologi
- Bedöm sensorisk och motorisk funktion av n. medianus
Vanligast förekommande nervskada (på nervus medianus anteriora interosseusgren) visar sig som oförmåga att flektera DIP-leden i dig I + II - Bedöm sensorisk och motorisk funktion av n. radialis
- Bedöm sensorisk och motorisk funktion av n. ulnaris
Sensorisk funktion skall dokumenteras genom testning av tvåpunktsdiskrimination. Barn över 5 år kan ofta medverka till 2PD efter instruktions- och testomgång på andra handen. Annars via sensorik för beröring.
Utsläckt sensorik till följd av en komplett nervskada kan maskera det viktigaste tecknet till kompartmentsyndrom, d.v.s. smärta.
Övrigt status
- Kontrollera förekomst av ecchymos eller hudindragning i armvecket: Proximalfragmentet kan ha penetrerat muskulatur (oftast m brachialis), eller muskulatur och dermis.
- Bedöm risken för ipsilaterala frakturer. Två eller fler frakturer i samma extremitet ökar risken för kompartmentsyndrom. Undersök hela extremiteten!
- Bedöm om patienten har oproportionerlig smärta i vila. Finns ökande smärta eller orolighet/agitation?
Underarmsmuskulaturen kan vara komprimerad p.g.a. frakturhematom. Ökad smärta i underarmen och smärtsam passiv extension av handled och MCP-leder talar för ökat kompartmenttryck. Normal pulsoximeter garanterar inte perfusion i underarmsmuskulaturen.
Röntgen
Det är avgörande för bedömningen att det finns en rak sidobild, d.v.s. där konturerna för den s.k. tårdroppen möts utan att överlappa. Oxynorm mixtur innan röntgen ökar chansen att få till korrekta projektioner.
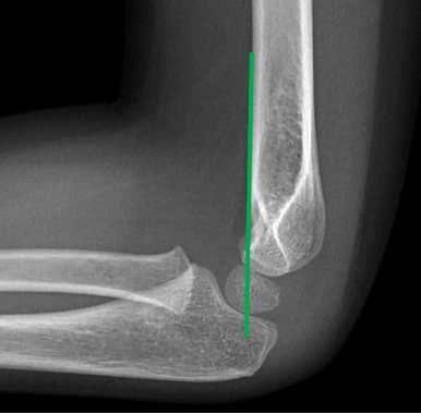
|
Rak sidobild med linje utmed anteriora kortex som skär genom capitellum. Om linjen inte skär genom någon del av capitellum är det för mycket dorsalbockning för att acceptera konservativ behandling. |
Klassifikation enligt Gartland
Typ I: Intakt linje längs anteriora kortex samt bevarad kondyl-skaftvinkel
Typ II: Intakt bakre kortex, dorsalbockning, ulnar kompression
Typ III: Bakre kortex inte intakt. Distalfragmentet dislocerat antingen posteromedialt (varus) eller posterolateralt (valgus).
Behandling
1. Smärtlindring
Paracetamol
Ibumetin
Oxikodon 1 mg/ml mixtur. 0,1 mg/kg kroppsvikt (innan röntgen)
2. Konservativ behandling
Typ I
Dorsal gipsskena med armbågen i drygt 90° flexion. Ta hjälp av tyngdlagen och gipsa barnet liggandes på rygg med armen ovanför huvudet och tummen pekandes mot munnen. I sittande blir vinkeln ofta mindre än 90°. Kontrollröntgen ej nödvändig, endast vid gränsfall för operation primärt. Gipstid 3 veckor.
3. Operativ behandling
Typ II
Vissa kan behandlas konservativt, men de flesta överskrider gränsen för acceptabel dislokation och behöver reponeras slutet i narkos. Som regel fixeras läget med korslagda stift. Gipsskena med armbågen i 90°. Postoperativ röntgenkontroll genom sparade bilder från sal innan gipsning eller på röntgenavdelning efter gipsning. Vidare kontrollröntgen ej nödvändig om bra stabilitet peroperativt, annars efter 5 dagar. Avgipsning och stiftdragning efter 3-4 veckor.
Typ III
Sluten reposition och fixation med korslagda stift. Gipsskena med armbågen i 70°. Postoperativ röntgenkontroll genom sparade bilder från sal innan gipsning eller på röntgenavdelning efter gipsning. Vidare kontrollröntgen ej nödvändig om bra stabilitet peroperativt, annars efter 5 dagar. Avgipsning och stiftdragning efter 3-4 veckor.
Pink & Pulseless
Vid avsaknad av palpabel puls/dopplersignal i a. radialis, men varm och rosig hand
Operation så snart patienten är fastande. Kan opereras på kliniken där patienten befinner sig om kompetens finns på plats. Postoperativt ska cirkulationen följas med doppler och barnet observeras inneliggande i 24 timmar. Vid tveksamhet kontakt med Jönköping enligt nedan.
Pale & Pulseless:
Vid avsaknad av palpabel puls i a. radialis med kall och blek hand, oavsett om dopplersignal finns
- Kontakt med ortopedjour i Jönköping, telefon 290 80
Dagtid vardagar kan barnortopedjour nås på telefon 285 63
Detta för överflytt omgående till sjukhus med kärlkirurgisk beredskap - Anlägg hög gipsskena med armen i befintligt läge innan transport, försök till grovreponering eller flektion/extension i armbågsleden ska inte göras
- Ambulanstransport prio 1 till Jönköping
- Kontrollera regelbundet och upprepat distalstatus och dokumentera i journal.
Om dokumentet
Utarbetat av Lovisa André och Mikael Lindell
Godkänt av Daniel Wärnsberg och Jens-Christian Larsen
Sidinformation
Innehållsansvarig
Daniel Wärnsberg
Gäller från
2021-03-17
Version
1.0
Handlingstyp
Vårdriktlinje
Handlingsslag
STYRANDE DOKUMENT
Godkänt av
Daniel Wärnsberg
Dokument-ID
177329
Källa
Evolution
