Interceptiv ortodonti
Avtagbar apparatur - klammerplåt
Indikation
Klammerplåten är en avtagbar apparatur som är kooperationsberoende.
Den används vid transversell expansion (posteriora korsbett), sagittal expansion (frontal invertering) eller enstaka inverteringar och vid behov med bitvallar. För expansion förses plåten med centralskruv. Skruv eller z-fjäder kan även användas för att korrigera enstaka tänder. Som förankringselement används vanligen adamsklamrar, gingivalklamrar och facialslinga.

Tillvägagångssätt
Vid framställning tas avtryck i överkäken analogt med alginat eller digitalt genom intraoral skanning. Kontrollera att de områden där apparaturen ska ligga an får en tydlig återgivning (till exempel gomslemhinna). Vid behov av laterala bitvallar eller vid sagittal expansion, krävs avtryck i både över- och underkäken samt genombitet index i IP.
Rita klammerplåten på rekvisitionen och beskriv även utförandet i text till teknikern. Vid intraoral skanning skickas rekvisitionen via Denthub. Endast pilotklinikerna (Hälsan Folktandvård, Rosenlund Folktandvård, Gränna Folktandvård) kan i nuläget skicka arbeten digitalt till labb på grund av begränsad printerkapacitet. Exempel vid klammerplåt för transversell expansion: adamsklamrar på 54, 64, 16, 26 och centralskruv för transversell expansion.
Kontrollintervall
Första veckorna fram till kontroll, cirka 2 veckor, kan patienten skruva ett snäpp per vecka. Efter första kontrollen kan patienten övergå till aktivering två gånger per vecka. Anpassa kontrollintervallen efter patienten och en del behöver mer stöttning än andra. Lämpligt kontrollintervall är 4 till 8 veckor. Ibland behöver adamsklamrarna aktiveras om plåten blir för lös. Ta då med en rundad tång tag i ”örat” på adamsklammern och vik in mot tanden. Väldigt lite aktivering krävs. Böj inte på andra delar på klammern då det kommer att ändra passformen. Om det är påbitning på klamrarna kan man slipa lätt på antagonisten (om det är en mjölktand) för att minska risken för fraktur av klammern.
En vanlig komplikation är att plåten efter ett tag inte går på plats. Patienten har då skruvat men inte fått på plåten helt eller inte använt den i rätt omfattning. Skruva då tillbaka tills den passar och fortsätt med behandlingen.
Vid uteblivet resultat efter 4 månader eller om plåten tappas bort mer än en gång bör behandlingen avbrytas. Konsultera ortodontist vid behov.
Vid posteriora korsbett, överexpandera den transversella relationen något, eftersom det kommer att ske recidiv.
I retentionsfasen kan patienten övergå till endast nattanvändning cirka 8 veckor. Om det finns laterala bitvallar så slipas dessa bort. Sedan varannan natt i 8 veckor och därefter utsättning. Vid tillräcklig transversell expansion och med god låsning blir det sällan recidiv.
Den totala behandlingstiden är normalt 1-1,5 år.
Patientinformation
Plåten ska användas dygnet runt och endast tas ur vid måltid och tandborstning. Den förvaras då i en ask som lämnas ut till patienten. Vid aktivering skruvar man med medföljande ”pinne” i pilens riktning. Ett snäpp motsvarar 0,2 mm. Det är viktigt att plåten förs hela vägen på plats efter aktivering.
Avtagbar apparatur - aktivator
Indikation
Aktivator är en avtagbar apparatur som används för att korrigera postnormala bett. Den är kooperationsberoende.
Den finns i olika utföranden, till exempel Andresen, Twin-Block, LM-aktivator och Van Beek. I den sistnämnda ingår även ett extraoralt drag.
Som förankringselement används adamsklamrar, kulklamrar, extraoralt drag och facialslinga beroende på vilken aktivator som görs.

Tillvägagångssätt
Vid framställning tas avtryck med alginat i över- och underkäken. Index tas i framjumpat kant-i-kant läge med 2-3 mm tjockt vax kvar vertikalt mellan centralerna i över- och underkäke (vid Twin-Block 4-5 mm). Använd Tenax-vax som rullas och böjs till en hästskoform. Kontrollera noga mittlinjen vid indextagning så att den stämmer med mittlinjen i icke jumpat läge. Alternativt skannas över- och underkäken och index registreras som vanligt i IP-läge. Man behöver ta en manuell vaxbitning med Tenax-vax i framjumpat läge (se ovan beskrivning). Vaxbitningen skickas till labb tillsammans med id-lappen från Denthub. Beskriv utförandet av aktivatorn i text till tandtekniker. Endast pilotklinikerna (Hälsan Folktandvård, Rosenlund Folktandvård, Gränna Folktandvård) kan i nuläget skicka arbeten digitalt till labb på grund av begränsad printerkapacitet.
Kontrollintervall
Första kontroll är lämpligt efter cirka 4 veckor och som sedan kan förlängas 8 till 12 veckor beroende på kooperation. När patienten når en horisontell överbitning på 0-2 mm kan retentionsfasen inledas. Observera att patienten ofta självmant vill jumpa fram underkäken och kontrollera därför horisontell överbitning i RP. Andrésenaktivatorn slipas ur posteriort i underkäken under den aktiva behandlingen på djupa bett. Detta görs med fördel en tid in i behandlingen för att förhindra att patienten tappar ut den i början.
Vid uteblivet resultat efter 4 månader eller om aktivatorn tappas bort mer än en gång bör behandlingen avbrytas. Konsultera ortodontist vid behov.
I retentionsfasen kan patienten successivt trappa ner, till exempel varannan natt 12 veckor och sedan 2 nätter per vecka ytterligare 12 veckor. Om den aktiva behandlingen har gått relativt fort bör retentionsfasen vara längre. Den horisontella överbitningen ökar normalt sett totalt ca 2 mm under retentionsfasen. Vid större recidiv kan man överväga att utöka användningstiden igen.
Den totala behandlingstiden är normalt 1,5 till 2 år.
Patientinformation
Aktivatorn ska användas kvällar och nätter, 12 till 14 timmar per dygn.
Uppmana gärna patienten att använda aktivatorn mer på helger och lediga dagar. Varje timme räknas!
Twin-Block kan användas dygnet runt om patienten accepterar det. Anpassa kontrollintervallen efter patienten, en del behöver mer stöttning än andra.

Apparatur med band – separering, framställning, bandprovning, cementering
Separering apparatur med band
Tillvägagångssätt
Insättning
5 till 7 dagar innan provning av band separeras tänderna med separationsringar (mesialt och distalt om tanden som ska få band). Dessa appliceras med tandtråd eller separeringstång. Ange i journalen var separationsringarna applicerats och hur många. Om det är svårt att applicera separationsringen ocklusalt ifrån kan man testa att separera gingivalt ifrån.
Avlägsnande
Vid avlägsnande av separationsringar, var alltid noga med att kontrollera att samtliga separationsringar är avlägsnade. Ange i journalen hur många separationsringar som avlägsnats. Finns separationsringen inte kvar är det viktigt att kontrollera att den inte ligger i tandköttsfickan. Blästra i tandköttsfickan för kontroll. Separationsringarna ska vara färgade och ha röntgenkontrast för att kunna upptäcka dem. En separationsring som lämnats oavsiktligt kvar i tandköttsfickan kan orsaka parodontala skador.
Patientinformation
Smärta och ömhet från tänder är vanligt efter insättning under de första dagarna. Eventuellt kan smärtlindring vara aktuellt. Om separationsringar lossnar är det viktigt att de hör av sig för att sätta dit nya.

Bandprovning
Tillvägagångssätt
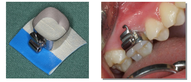
Vid framställning av apparatur med band ska band med god passform provas ut. Banden finns i olika storlekar och är olika för över- och underkäke samt höger och vänster sida. Bandet ska i stort sett sitta med egen friktion. Kroken ska sitta gingivalt åt och peka distalt åt. Bandet ska gå nedanför randvulsterna.
Vid korta kliniska kronor (till exempel unga patienter) kan man klippa banden gingivalt på mesial- och distalytan med en kronsax om banden upplevs för stora. De instrument som är aktuella för bandprovning är banddrivare, bandpåbitare och bandavlyftare.
Framställning apparatur med band
Tillvägagångssätt
Vid framställning ska band med god passform provas ut. 5 till 7 dagar innan provning av band separeras tänderna med separationsringar. Banden finns i olika storlekar och är olika för över- och underkäke samt höger och vänster sida. Bandet ska i stort sett sitta med egen friktion. Kroken ska sitta gingivalt åt och peka distalt åt. Bandet ska gå nedanför randvulsterna. Ange bandstorlek i journalen.
Vid korta kliniska kronor (till exempel unga patienter) kan man klippa banden gingivalt på mesial- och distalytan med en kronsax om banden upplevs för stora. De instrument som är aktuella för bandprovning är banddrivare, bandpåbitare och bandavlyftare.
Analog framställning
Alginatavtryck tas med banden på plats i munnen. När avtrycket avlägsnats, kontrollera att de områden där apparaturen ska ligga an har fått en tydlig återgivning i avtrycket. Lyft ut banden från tänderna med bandavlyftare och placera banden noggrant i avtrycket. Placera först in bandets buckala del och tryck sedan ned den palatinala/linguala delen. Ange bandstorlek i journalen. Anvisningen till teknikern ska vara noga beskriven i text och uppritad på rekvisitionen.
Digital framställning
Endast pilotklinikerna (Hälsan Folktandvård, Rosenlund Folktandvård, Gränna Folktandvård) kan i nuläget skicka arbeten digitalt till labb på grund av begränsad printerkapacitet.
Band provas ut och punsas ordentligt så man ser hur de ska sitta. Intraoral skanning görs sedan utan band på plats. Det är viktigt att ytorna vid separeringen syns så bra som möjligt i skanningen och kontrollera även att de områden där apparaturen ska ligga an har fått en tydlig återgivning. Banden skickas till Tandtekniskt laboratorium med identifieringslappen från Denthub. Rekvisitionen skickas digitalt via Denthub. Anvisningen till teknikern ska vara noga beskriven i text och gärna uppritad på rekvisitionen. Labbet skriver ut modellen och sätter på banden för att sedan framställa apparaturen.
Cementering av band
Tillvägagångssätt
Polera tänderna rena med pimpsten och torrlägg. Applicera tejp på bandens ocklusala del. Applicera cement i banden. Banden sätts på plats. Använd bandpådrivare för att få dem i rätt läge (var noga med fingerstöd för att inte slinta). Med bandpåbitare tar man hjälp av patienten som får bita ner banden på plats. Kontrollera att banden sitter rätt. Avlägsna överskott. Ljushärda.
Vid cementering av fakultativt avtagbar Quad-helix cementeras banden med Quad-helix på plats.

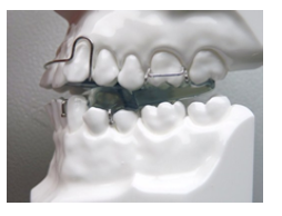
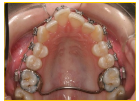
Quad-helix
Indikation
Quad-helix används för transversell expansion och används ofta för att häva ensidiga tvångsförande korsbett. En expansion transversellt ökar också platsen i tandbågen. Det är viktigt att häva ett tvångsförande korsbett i ung ålder för att undvika en asymmetrisk käktillväxt och hämmad breddutveckling av maxillan. Quad-helix kan utföras som lödd konstruktion eller som fakultativt avtagbar.
Tillvägagångssätt
5 till 7 dagar innan provning av band separeras tänderna med separationsringar.
Band provas ut på 16 och 26 och avtryck tas analogt med alginat eller digitalt genom skanning. Du behöver ange i labbrekvisitionen om du önskar en lödd eller en fakultativt avtagbar Quad-helix samt ange utsträckning av de palatinala armarna. Anvisningen till teknikern ska vara noga beskriven i text och uppritad på rekvisitionen. Vid ett tvångsfört korsbett görs expansionen symmetriskt, vilket innebär att man har samma utsträckning på de palatinala armarna på höger och vänster sida.
Nya separationsringar appliceras 5 till 7 dagar innan cementering av Quad-helix. Innan cementering aktiverar du Quad-helix utanför munnen. Använd en trepunktstång. Jämför din aktivering med befintlig modell. I normalfallet aktiverar man ca 6-7 mm (ungefär en tandbredd). Prova i munnen att du får konstruktionen på plats.
Cementera konstruktionen. Vid cementering av fakultativt avtagbar Quad-helix cementeras banden med Quad-helix på plats.
En fakultativt avtagbar Quad-helix ligeras med elastiska ringar.
Sätt klackar på förslagsvis 05:or i över- eller underkäken med till exempel Ultra Band Lok Blue för att häva eventuell låsning.
Kontrollintervall
Aktiv behandling av ett tvångsförande korsbett med en quad-helix tar ungefär 6 till 8 månader.
Kontrollera en quad-helix med 8 till 12 veckors intervall. Känn på banden så de inte är lösa. Kontrollera den transversella relationen.
Lödd konstruktion: Om ytterligare aktivering behövs, avlägsnas apparaturen och recementeras med förnyad aktivering.
Fakultativt avtagbar konstruktion: Avlägsna den avtagbara konstruktionen. Aktivera och sätt in på nytt och ligera med elastiska ringar.
När korsbettet är hävt, överaktivera något för att tillåta recidiv (men inte sätta patienten i saxbett). Korsbett har stor recidivbenägenhet och quad-helix behålls därför som retention och ska sitta kvar minst lika länge som den aktiva behandlingen (cirka 6 månader).
Patientinformation
Informera om indikation och behandlingsmål samt ungefärlig behandlingstid. Smärta och ömhet från tänder är vanligt efter insättning/aktivering av apparatur under de första dagarna. Eventuellt kan smärtlindring vara aktuellt.
Man bör informera patienten om att viss ömhet från tungryggen kan uppstå under de första dagarna efter cementering och att det initialt kan vara svårt att prata och forma vissa ljud. Man kan även uppleva ökad salivation. Impressioner på tungan av apparaturen är vanligt. Dessa besvär brukar vara övergående.
Det är viktigt att patienten borstar och håller rent kring banden.
Bandets krok kan ge skav mot slemhinnan. Vax kan lämnas ut vid behov.
Undvik segt godis för att minska risken för att apparaturen lossnar.

Extraoralt drag (EOD) - lowpull
Indikation
EOD används oftast i postnormala bett. EOD kan också användas för distalisering av överkäkens första molar för att skaffa plats vid platsbrist eller användas som luckhållare.
Det finns EOD för olika användningsområden - lowpull, highpull och straightpull. Här har vi valt att presentera low-pull, som är den vanligaste.
Tillvägagångssätt
5 till 7 dagar innan provning av band separeras tänderna med separationsringar.
När 16 och 26 är separerade provas band ut. Banden cementeras.
Utprovning av EOD
EOD består av en inner- och ytterbåge och storleken behöver anpassas till patienten. Innerbågens längd bestäms av tandbågens längd. Den finns i storlek 1-5 där 3 och 4 är vanligast. Ytterbågens storlek finns i tre olika storlekar där medium är vanligast.
Har man tillgång till studiemodell kan man med fördel prova ut bågen med hjälp av den. Innerbågen ska inte ligga närmare än 4 mm från incisiverna samt anpassas för att vara bekväm mellan läpparna. Mindre justering av bågens längd samt hur den ligger an vid läppar kan göras vid looparna. Looparna fungerar som mesiala stopp och sätts vanligen uppåt. Innerbågen ska ligga nära, men inte gå emot tänderna i sidopartier. En lätt expansion vid 6:orna är en fördel för att kompensera för kontraherande effekt av nackdraget.
Ytterbågen kopplas till ett nackdrag via säkerhetsspännen. De har funktionen att de släpper om man skulle ta tag kraftfullt i EOD-bågen, så att det inte fjädrar tillbaka mot ansiktet. Prova ut vilket hål i plastdraget som EOD ska kopplas till. 300-500 cN ger huvudsakligen en dental effekt. Vanligtvis hamnar man då i mitten av draget, det vill säga mellan inaktiv och maximalt utdraget drag. Markera det valda hålet med en spritpenna. Patienten instrueras i att ta av och på EOD.
Kontrollintervall
Avtagbar apparatur som till exempel EOD är kooperationsberoende, anpassa kontrollintervallet till patienten. Efter insättning, titta på patienten efter 2-4 veckor. Vid god kooperation är ca 6 veckor lämpligt. Kontrollera kraften, behöver EOD kopplas till nytt hål?
Kontrollera 6:ornas relation, har det skett någon förflyttning?
Behandling med extraoralt drag ger distalriktade krafter mot 6:ans krona samt mot hela maxillan. Tanden extruderas också något, vilket kan vara önskvärt vid djupa bett. Men oönskade effekter kan ske och man bör vara observant på bettet i sin helhet.
Vid misstanke om kooperationssvikt, be patienten sätta i EOD (går det lätt?).
Man kan också kolla om nackbandet ser använt ut och om molaren är mobil.
Hur länge man ska ha apparaturen beror på indikation och behandlingsmål. Rådgör med din ortodontist.
Patientinformation
Informera om indikation och behandlingsmål samt ungefärlig behandlingstid.
Användningstiden är avgörande, minst 12-14 timmar per dygn. Man använder EOD på kvällar och nattetid. Uppmana gärna patienten att använda apparaturen extra vid helger och ledighet. Varje timme räknas.
Smärta och ömhet från tänder är vanligt efter insättning av apparatur under de första dagarna. Vid EOD är det vanligt att man känner ömhet från tänder på morgonen. Eventuellt kan smärtlindring vara aktuellt.
Transpalatinal bar (TPB)
Indikation
TPB är en fastsittande konstruktion som används för förankring.
Tillvägagångssätt
5 till 7 dagar innan provning av band separeras tänderna med separationsringar.
När 16 och 26 är separerade provas band ut och avtryck tas med alginat alternativt genom intraoral skanning. Beakta parallellitet för att underlätta insättning.
5 till 7 dagar före cementering av TPB, separeras tänderna med nya separationsringar.
Insättning
Polera 16, 26. Prova TPB och cementera.
Kontrollintervall
Fastsittande apparatur utan aktivitet som till exempel TPB kan kontrolleras var 3:e månad. Känn på banden så de inte är lösa.

Patientinformation
Informera att det känns ovant i början, men att man vänjer sig.
Man bör informera patienten om att viss ömhet från tungryggen kan uppstå under de första dagarna efter cementering och att det initialt kan vara svårt att prata och forma vissa ljud. Man kan även uppleva ökad salivation. Dessa besvär brukar vara övergående.
Det är viktigt att patienten borstar och håller rent kring banden.
Bandets krok kan ge skav mot slemhinnan. Vax kan lämnas ut vid behov.
Undvik segt godis för att minska risken för att apparaturen lossnar.
Lingualbåge (LIB)
Indikation
Lingualbåge (LIB) är en fastsittande konstruktion som används för förankring.
Tillvägagångssätt
5 till 7 dagar innan provning av band separeras tänderna med separationsringar.
När 46 och 36 är separerade provas band ut och avtryck tas med alginat alternativt genom intraoral skanning. 5 till 7 dagar före cementering av LIB, separeras tänderna med nya separationsringar.
Insättning
Polera 16, 26. Prova LIB och cementera.
Kontrollintervall
Fastsittande apparatur utan aktivitet som lingualbåge kan kontrolleras var 3:e månad. Känn på banden så de inte är lösa.
Patientinformation
Man bör informera patienten om att det initialt kan vara svårt att prata och forma vissa ljud. Man kan även uppleva ökad salivation. Dessa besvär brukar vara övergående. Det är viktigt att patienten borstar och håller rent kring banden. Bandets krok kan ge skav mot slemhinnan. Vax kan lämnas ut vid behov.
Undvik segt godis för att minska risken för att apparaturen lossnar.

Cross-elastic
Indikation
Cross-elastic används vid korrigering av enstaka tänder som står inverterade, i korsbitning eller saxbitning. Det måste finnas utrymme i tandbågen för att få en förflyttning. Ortodontisten bedömer om denna behandling är lämplig och vilka tänder som ska fungera som förankringständer.
Tillvägagångssätt
Polera tänderna. Torrlägg. Etsa och bonda. Ljushärdande cement eller komposit appliceras på button som placeras ungefär mitt på tanden. Avlägsna överskott. Ljushärda. Gummidrag får anpassas efter vilka tänder som ska förflyttas. Prova draget i munnen så att det finns aktivitet i normalläge.
Kontrollintervall
Cross-elastic är kooperationsberoende. Efter insättning titta på patienten efter 2 till 4 veckor. Effekt ska märkas efter några veckors behandling (ökad mobilitet hos tänderna). Anpassa kontrollintervallet, cirka en månad är ofta lämpligt.
Om det inte har hänt något alls kan det finnas olika anledningar. Utred om det är kooperationssvikt. Det kan även bero på en låsning och man kan överväga att klacka (med till exempel Ultra Band Lok Blue) för att höja bettet temporärt. Det kan även bero på platsbrist. Om det inte hänt något på 2 månader, överväg att avbryta behandling. Konsultera ortodontist vid behov.
När invertering/korsbitning/saxbitning är hävd, kontrollera att du fått en god låsning. Anpassa retentionstiden beroende på detta. Vid god låsning kan man testa att sätta ut gummidragen helt och kontrollera efter en månad. Låt buttons vara kvar tills nästa kontroll. Man kan även trappa ned gummidragen till endast nattanvändning en tid och sedan sätta ut dem helt.
Patientinformation
Informera om indikation och behandlingsmål samt ungefärlig behandlingstid. Användningstiden är avgörande för att få tandförflyttning. Det är viktigt att inga uppehåll görs för att behandlingen ska lyckas. Uppmuntra och motivera!
Gummidragen ska användas dygnet runt, men tas ut vid tandborstning. Gummidragen byts varje morgon och kväll. Vid cross-elastic i fronten, behöver gummidragen även tas ut vid födointag. Tipsa om att alltid ha med sig en påse med gummidrag i fickan, så man med lätthet kan sätta i nya om något går sönder. Ömhet från tänder är vanligt under de första dagarna. Eventuellt kan smärtlindring vara aktuellt. När gummidragen används heltid kommer ömhet från tänderna att avklinga efter några dagar. Om gummidragen däremot används till och från kommer ömheten från tänderna att återkomma. Mobilitet i tänderna är normalt och beror på tandförflyttning.

Sidinformation
Innehållsansvarig
Emelie Söljegård
Gäller från
2025-11-11
Version
1.0
Handlingstyp
Instruktion
Handlingsslag
STYRANDE DOKUMENT
Godkänt av
Karolina Mikkelä Stange
Dokument-ID
343144
Källa
Evolution