Kvalitetsmål för panoramaröntgenbilder
Panoramabildens kvalitet påverkas och försämras påtagligt av ett flertal faktorer. Till exempel inkorrekt patientplacering, bristande kooperation, avvikande anatomi eller funktionsinskränkningar som omöjliggör en korrekt placering av patienten.
Bristande bildkvalitet kan både dölja och simulera patologi samt ge upphov till artefakter.
Om bristande bildkvalité försvårar bedömningen avsevärt bör man överväga att ta om bilden efter att först ha åtgärdat orsaken till bristande bildkvalité.
Vissa orsaker kan åtgärdas såsom patientplacering och att patienten tar upp tungan mot hårda gommen ifall detta har fallerat. Andra orsaker såsom avvikande anatomi eller oförmåga att inta en korrekt position i maskinen kan vara svåra eller ej möjligt att åtgärda.
Så att förstå orsaken till den bristfälliga bildkvalitén är viktig att förstå och hur det påverkar tolkningen av bilden.
En kontrollmetod för att utvärdera panoramabilden kan göras enligt nedan punkter:
- Kontrollera incisivernas bredd.
- Smala tänder: Patienten placerad för att långt fram i maskinen.
- Breda tänder: Patienten placerad för långt bak i maskinen.
- Kontrollera ramus mandibulae bredd eller bredden på 36 och 46.
- Om sidoskillnad: Patientens huvud roterat eller tippat.
- Kontrollera om ”glad” eller ”ledsen” patientbild.
- Patienten huvud lutat för mycket neråt framåt eller uppåt bakåt.
- Kontrollera tungans position.
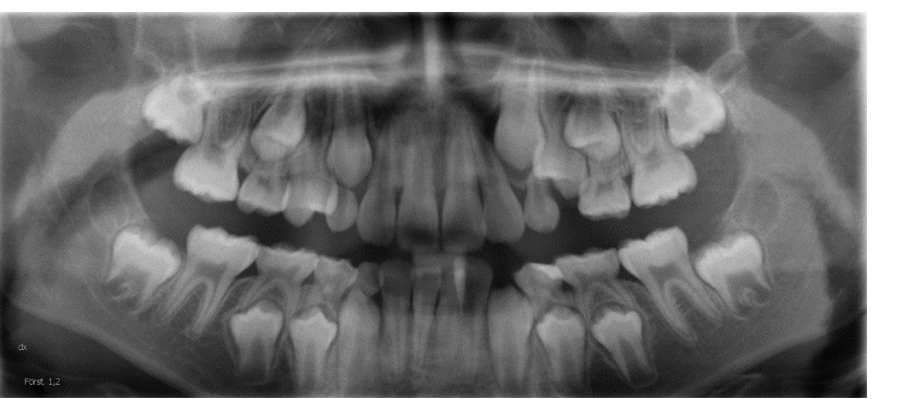
- Tungans ska vara belägen mot hårda gommen för att undvika luftspalt tecknande sig över överkäkens tandrötter.
Observera att panoramaundersökningar på barn ska utföras med avbländat (mindre) strålfält.
Bildexempel panoramabild
Icke-avbländad

Avbländad

Många gånger är man mest intresserad av tänderna och behöver inte avbilda hela käkarna. På de flesta panoramamaskiner finns möjligheten av avblända bilden och på så sätt reducera stråldosen. Här ovan ses ett dentalt panorama. Ofta finns också möjligheten att avbilda patientens ena sida.
Skarpa skiktet

Det gröna fältet i mittenbilden ovan är det avbildas skarpt av maskinen. Om patienten inte är korrekt placerad i maskinen avbildas inte patienten inte optimalt.
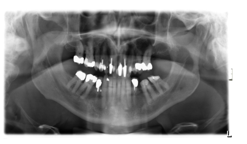
Tungan ej lyft upp mot gommen – luftspalt bildas vilket ger en mörkare bild över rotspetsarna.

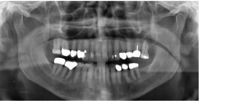
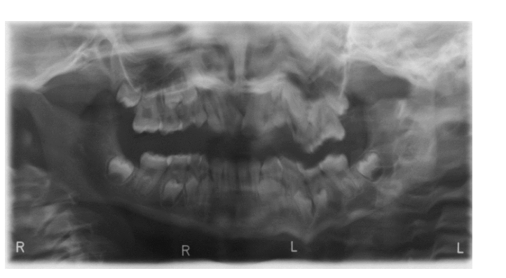
”Ledsen bild”


- Lutar huvudet bakåt – lyfter upp hakan. Bilden blir ”ledsen”.
- Överkäksincisivernas rotspetsdel hamnar utanför det skarpa skiktet.
- Underkäksincisiverna ses tydligare.
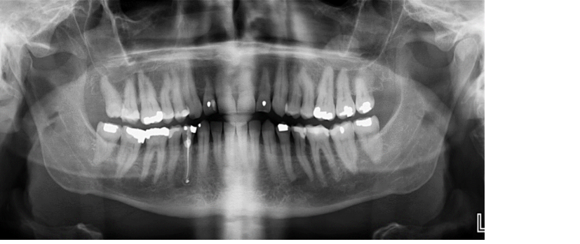
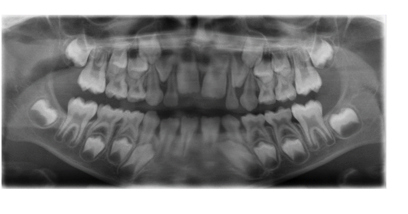
”Glad bild”


- Lutar huvudet framåt – sänker hakan. Bilden blir ”glad”.
- Underkäksincisiverna hamnar utanför det skarpa skiktet.
- Tungbenet tecknar sig över mandibeln.
- Käkledhuvudet kan hamna utanför bilden
”Smala incisiver”


- Står för långt fram i panoramamaskinen/längre från röntgen fokus/närmare detektorn.
- Incisiverna ser smala ut.
”Breda incisiver”


- Står för långt bak i panoramamaskinen/närmare röntgenfocus/längre från detektorn.
- Incisiverna ser breda ut.
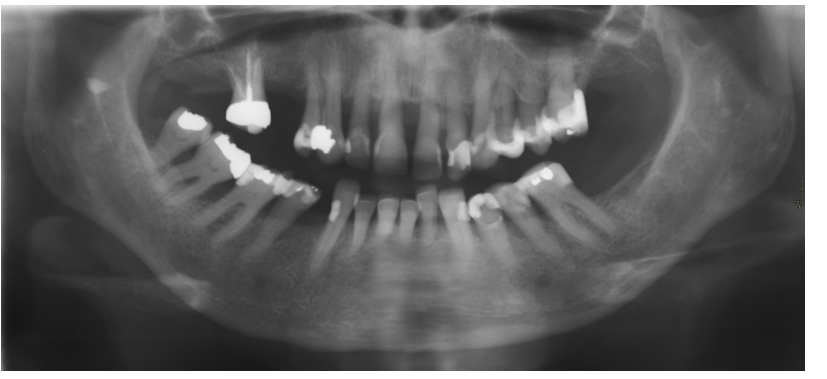
”Ena sidan bredare än den andra”

Patientens högra sida kommer längre från detektorn/närmare focus och tvärtom på vänster sida. Höger sida avbildas då bredare än vad den är och vänster sida ser smalare ut.
Höger sida får mer överlappningar.
”Rörelse”

Patienten har rört sig under exponeringen vilket ger en vågigt suddig bild som exemplet ovan.
Sidinformation
Innehållsansvarig
Robert Liljeholm
Gäller från
2026-02-10
Version
7.0
Handlingstyp
Beskrivning
Handlingsslag
STYRANDE DOKUMENT
Godkänt av
Robert Liljeholm
Dokument-ID
299291
Källa
Evolution